
Feel the Confidence a Straight Smile Can Give
At Lenderman & Meek Dental, we know misaligned teeth can impact your confidence. Your orthodontic specialist will work with you to create an individualized treatment plan and get you on the path to straight teeth.
Individualized Orthodontic Care
We offer fixed or removable appliances so you can choose what works best for your lifestyle. Our treatment options include:

Traditional Braces
One of the most common orthodontic treatment methods, traditional braces are fixed appliances that move teeth using a combination of metal brackets, wires, and bands. The brackets are bonded to each tooth with a wire running through each bracket that’s tightened and adjusted to correct tooth alignment and bite. You’ll have consistent appointments over the course of your treatment to make any necessary adjustments and track your progress. Braces may also be paired with rubber bands to facilitate tooth movement and bite correction.

Invisalign
Invisalign has become an increasingly popular option for teeth alignment, especially among adults, for its flexibility and inconspicuous appearance. The removable clear aligners discreetly stimulate tooth movement to give you a straight, happy smile. You’ll meet with your orthodontist who will perform a 3D scan of your teeth and build a custom treatment plan. Your orthodontist will then send the scan and treatment plan to Invisalign to create your aligners. Once we’ve received your aligners, you’ll visit our office to try them on while your orthodontist checks for proper fit and alignment. You’ll have regular check-ups to track your progress throughout your treatment to make sure everything is going according to plan.
Get the Radiant Smile You’ve Always Dreamed Of.
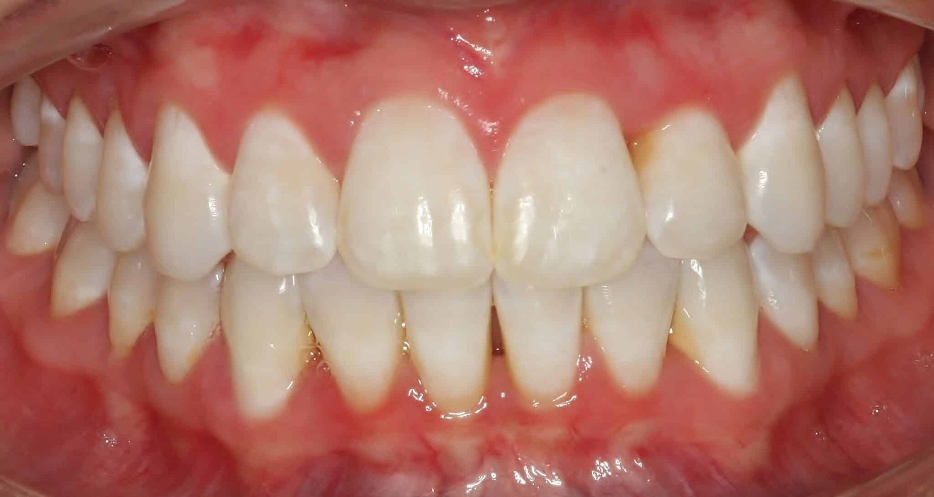
Before & After Invisalign.

Retainers
Once your orthodontic treatment is complete, you want to maintain your new smile. You’ve just spent anywhere from a few months to a few years receiving corrective care, so you don’t want it to go to waste. We offer fixed retainers and removable retainers to keep your teeth straight and prevent the natural shifting that occurs over time. Your orthodontist will determine which option is the best fit for your needs.

Caring for Your Teeth During Orthodontic Treatment
It’s important to remember that tooth decay can still strike while you’re receiving orthodontic treatment. Brushing and flossing are the best methods of prevention and we encourage you to brush and floss at least twice per day. Don’t chew anything hard, like ice cubes, and avoid sticky, sugary foods and beverages, like chewy candy or sodas.
If you’re using Invisalign, be sure to take out your aligners while eating and keep them clean by rinsing them with warm water and scrubbing them with a soft-bristled toothbrush. For deep cleaning, we recommend using Invisalign Cleaning Crystals.
Specialized Care In a Comfortable Environment
At all ages and stages in life, we care about each and every patient that visits us. From beginning to end, your appointment will be about you and how we can help you achieve and maintain the healthiest, happiest smile.

No Insurance? No Problem!
We want high-quality dental care to be accessible to everyone. Our membership allows you to pay a small monthly fee and receive the dental care you need, even if you don’t have insurance. Sign up for the Lenderman & Meek Dental Membership Plan here today!
From Our Patients
Rick Harvey
They have a new, nice and clean dentist office. The front desk ladies were so welcoming. The doctor's assistant, Bri, was very helpful and made...
Maude Carter
Best care and service always! The staff are friendly and attentive to my needs. They are efficient and prepared to provide treatment at...
Michelle Bosley
My experience was awesome!! Tammy my hygienist was great. She and Dr. Lenderman were very patient with me, and explained things very well. The front receptionist...
Ready For Your New Smile?
We want to help you achieve your ideal smile. Request your appointment today!







